Phoenix Dental Clinic – Dr. Rassi
Premium dentistry combining cutting-edge technology and refined expertise
+961 1 202 430
Specialists
(+961) 1 202 430
Gergi Zeidan , Beirut ,Lebanon
Info@hrassi.com
With over 35 years of experience, Phoenix Dental Clinic is a trusted dental clinic in Beirut, Lebanon, dedicated to delivering high-quality, personalized dental care. Our clinic combines advanced technology with refined clinical expertise to provide exceptional results—whether you’re seeking routine dental care or advanced cosmetic treatments.
Our team of highly specialized dentists focuses on precision, comfort, and natural aesthetics, ensuring every patient receives a treatment plan tailored to their needs. At Phoenix Dental Clinic, excellence is not just a standard—it’s the foundation of every smile we create.
Our dentist-led team in Beirut is committed to precision, comfort, and natural results.
Our clinic offers a full range of advanced dental services, delivered by an experienced dentist and a specialized team committed to precision, comfort, and long-term oral health. Each treatment is tailored to your needs, using modern techniques and high-quality materials for reliable, natural results.
Preventive and restorative dental care focused on maintaining healthy teeth and gums. From routine check-ups to fillings and cleanings, our dentist ensures comprehensive care for patients of all ages in Beirut.
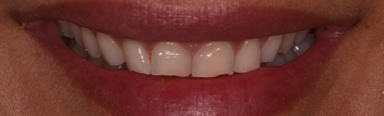
Advanced cosmetic dental treatments designed to enhance the appearance of your smile. Our dentist specializes in veneers, teeth whitening, and smile makeovers that deliver natural-looking, confident results.
Expert oral surgical procedures performed with precision and care. Our clinic provides safe and effective solutions for tooth extractions, surgical treatments, and complex dental conditions under professional supervision.
Services
Patient
Years of Experience In dental care
At our dental clinic in Beirut, our goal is to deliver advanced dental care that prioritizes precision, comfort, and long-term oral health. Every treatment is guided by clinical expertise, modern technology, and a patient-first approach, ensuring reliable results you can feel confident about.
From preventive dentistry to advanced cosmetic and restorative treatments, we offer complete dental care under one roof. Our clinic is equipped to address every stage of your oral health journey with consistency and attention to detail.
Led by an experienced dentist, our team is composed of highly trained professionals dedicated to delivering safe, effective, and personalized dental treatments using modern techniques and evidence-based care.
Lorem ipsum dolor sit amet, consectetur adipiscing elit. Ut elit tellus, luctus nec ullamcorper mattis, pulvinar dapibus leo.
Founder & Dental Surgeon
Cosmetic Dentist
Perio & Implant Dentist
Our clinic provides comprehensive dental care focused on prevention, comfort, and lasting results. Led by an experienced dentist and a dedicated team, we use modern techniques to help you maintain healthy teeth and a confident smile at every stage of life..
+961 1 202 430
Our patients trust us for professional dental care delivered with precision, comfort, and attention to detail. From routine check-ups to advanced treatments, we are proud to be recommended by patients who value quality care and natural results.
Posted on gaby kattiniTrustindex verifies that the original source of the review is Google. Best of the BestPosted on Simon KhoueiryTrustindex verifies that the original source of the review is Google. very professional team and amazing resultsPosted on Carla SabbaghaTrustindex verifies that the original source of the review is Google. Best dentistsPosted on Bassam RebeizTrustindex verifies that the original source of the review is Google. Best practice ever, fast and almost painlessPosted on ghenwa nammourTrustindex verifies that the original source of the review is Google. Le meilleur dentiste au Liban!!Posted on Rayane Abdel-SamadTrustindex verifies that the original source of the review is Google. Very professional team and great service 🙏❤️. I have been a loyal customer for so many years, even before they relocated to the new clinic. The team provides all dental services and procedures. They have 2 parking slots for patients as they understand how difficult it is to find parking slots in the heart of Achrafieh, and that is a big plus.Posted on Hobeika NabilTrustindex verifies that the original source of the review is Google. Very professional and welcomingPosted on Nadine AboukhaledTrustindex verifies that the original source of the review is Google. Great dental service !!! Nocello delicious happy new year 2026!
Stay informed with expert advice from our dental team in Beirut. Our blog covers practical tips, preventive care, and the latest insights in dentistry to help you maintain healthy teeth and gums at every stage of life.
Welcome to WordPress. This is your first post. Edit or delete it, then start writing!
Have questions about dental care, treatments, or appointments? We’ve answered some of the most common questions to help you feel informed and confident before visiting our dental clinic in Beirut.
+961 1 202 430
Most patients should visit the dentist every six months for a routine check-up and professional cleaning. Regular visits help prevent dental problems and allow early detection of issues before they become more complex.
Yes. Our clinic provides a range of cosmetic dental treatments, including teeth whitening, veneers, and smile makeovers. Each treatment is personalized to achieve natural-looking results while maintaining long-term oral health.
Modern dental techniques and technology allow most treatments to be performed comfortably and with minimal discomfort. Our dentist focuses on gentle care and patient comfort throughout every procedure.